
ZİRKONYUM DİŞ FİYATLARI
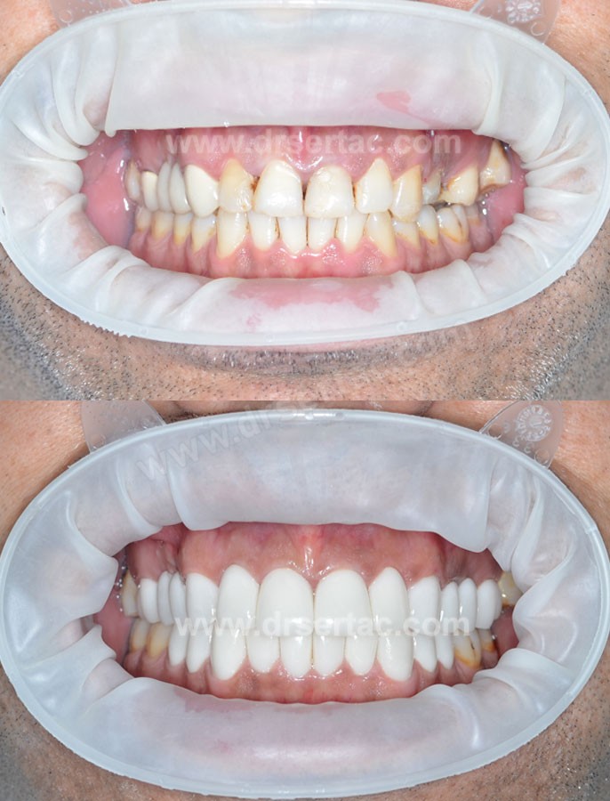
Sağlıklı uzun ömürlü ve estetik görünen bir diş kaplamasının kullanılan malzeme işçilik olarak yüksek maliyetler ile yapılması normaldir. Diğer diş kaplamaları ile karşılaştırıldığında zirkonyum diş fiyatları daha fazladır. Ancak bu yeni nesil diş kaplama için ödenen ücret zaman içerisinde karşılığını alacağınız bir ücrettir. Malzeme yurt dışından döviz ile geldiği için zirkonyum diş fiyatları da döviz fiyatları ile değişir. İstanbul zirkonyum diş fiyatları 700 TL ile 1500 TL aralığındadır. Bu fiyatın farklı olması kullanılan malzeme laboratuvarın el becerisi ve klinik hekimin tecrübesi ile orantılıdır. Ucuz zirkonyum diş yaptırmak istediğinizde kalitesiz malzeme veya yeteneksiz diş teknisyeni ile karşılaşma ihtimaliniz artacaktır.
İleride size pahalıya mal olacak SORUNLAR yaşamamak için diş kaplama yaptıracağım nasılsın doktoru ve Kliniği dikkatli seçmenizi tavsiye ederiz. Tedavi için karar vermeden önce görüştüğümüz doktorları iyi değerlendirip size güven veren ve daha önce yaptığı İşler ile beğeni kazanan takdir toplayan doktorları tercih etmek mantıklı olacaktır. İstanbul dışında diş kaplama yaptırması gereken hastalar için kısa bir seyahat ile İstanbul’da zirkonyum diş kaplama yaptırmak mümkün olacaktır.
Türkiye dışından İstanbul’a zirkon diş kaplama için gelen hastalar bu tedavileri yurt dışındaki yüksek zirkonyum diş fiyatları ile karşılaştırdığından tatillerinin de bedavaya geldiğini söylemektedir. 2018’de Konya’nın diş fiyatları 2017 fiyatları ile karşılaştırıldığında dövizdeki artma veya azalmadan etkilendiği görülecektir. Bu nedenle bu günler 2018 zirkon diş fiyatları ile ilgili bir bilgi vermek sağlıklı olmaz.
